در حال حاضر اسکن های 3 بعدی پزشکی یک ماجرای طولانی هستند و بیش از 2 ساعت طول می کشند. این موضوع باعث می شود که جراحان عمل جراحی را متوقف کنند و پس از دریافت اسکن سه بعدی مجددا جراحی را آغاز کنند. خوشبختانه خبری منتشر شده است که هوش مصنوعی به زودی این مشکل را برطرف خواهد کرد.
تیم تحقیقاتی MIT یک الگوریتم یادگیری ماشین را طراحی کرده است و این الگوریتم قادر است تا به عکس برداری و اسکن های سه بعدی با سرعت 1000 برابر بپردازد. همچنین این الگوریتم علاوه بر اسکن، به تجزیه و تحلیل نیز خواهد پرداخت. این تکنولوژی از طریق بررسی هزاران تصویر پزشکی آغاز شد و این الگوریتم چگونگی بررسی و تحلیل عکس ها را یاد گرفت. اکنون در این تکنولوژی قابلیت مقایسه دو اسکن سه بعدی به طور همزمان نیز ارائه شده است.

باید اشاره کنیم که این قابلیت سرعت عمل های جراحی را افزایش خواهد داد و عمل هایی موفقیت آمیز را برای جراحان به ارمغان می آورد. در نتیجه نیازی نیست تا برای دریافت اسکن های سه بعدی جراحی ها متوقف شوند. این سرعت عمل توسط هوش مصنوعی و یادگیری ماشین برای پزشکان بسیار مفید و کاربردی خواهد بود.
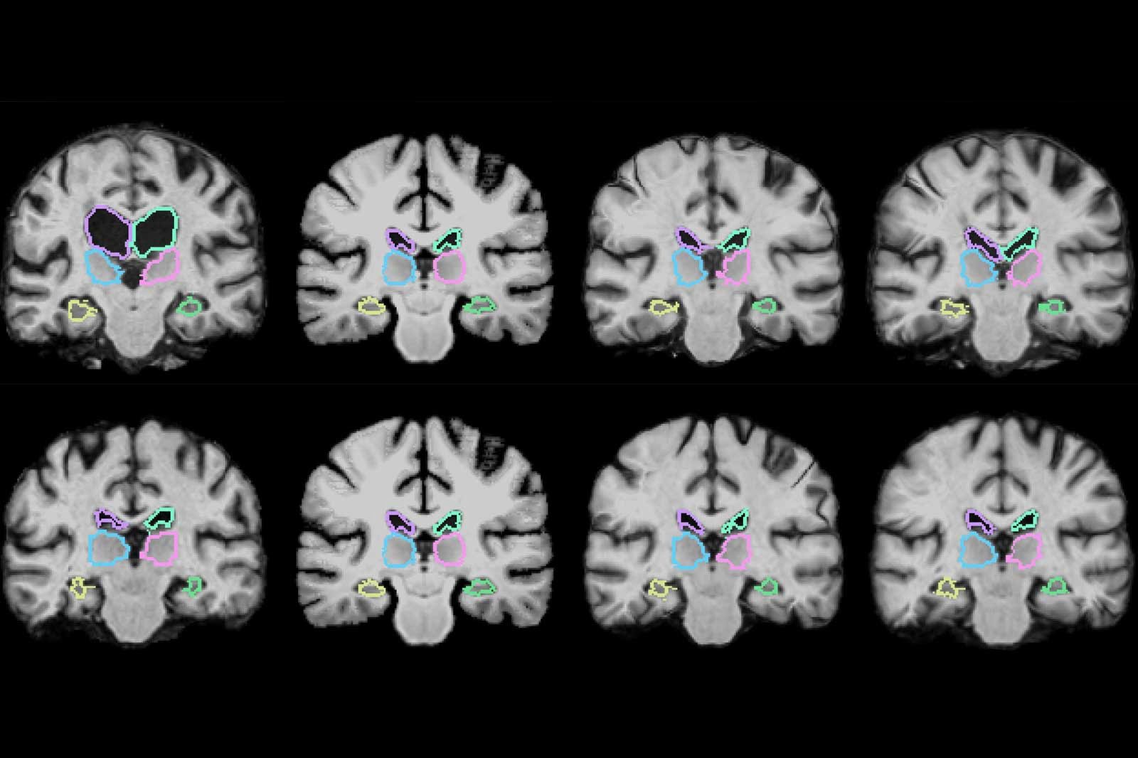
در حال حاضر تیم تحقیقاتی MIT بر روی اسکن مغز متمرکز شده اند اما این تکنولوژی برای اسکن ریه و بخش های دیگر بدن نیز کاربردی خواهد بود. به طور کلی این تکنولوژی در روند عمل های جراحی تاثیر بسزایی خواهد داشت و تحلیل و بررسی اسکن ها را برای پزشکان ساده تر خواهد کرد.








دیدگاهتان را بنویسید